Сетевое СМИ Парламентского Собрания Союза Беларуси и России


Рубрика: Союзное государство


НОВОСТИ

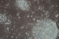
На октябрьском заседании Совмина Союзного государства планируется утвердить белорусско-российскую программу «Стволовые клетки».
– Эта программа нужна двум государствам. Мы намерены использовать российские разработки в этом направлении и готовы поделиться своими. На мой взгляд, у нас получится очень неплохой альянс, – сказал журналистам заведующий лабораторией молекулярной биологии клетки Института биофизики и клеточной инженерии, академик НАН Беларуси Игорь Волотовский.

4-5 октября в Минске прошло 12-е заседание Координационной
комиссии по формированию и обеспечению функционирования объединенной транспортной системы Союзного государства.
Основными вопросами, которые обсуждались на переговорах, стали дальнейшее сотрудничество между двумя странами с учетом создания Таможенного союза, выработка общей позиции в рамках сотрудничества с международными организациями. Традиционно были рассмотрены вопросы сотрудничества по всем видам транспорта и дорожному строительству.

Беларусь рассчитывает подписать до конца года соглашение с Россией об электросбытовом совместном предприятии.
Речь идет об электроэнергии, которая произведена как в России, так и в Беларуси. Сейчас определяются позиции сторон и идет активная стадия переговоров на уровне министров энергетики двух стран. Уже подготовлены проекты госпрограмм по модернизации электроэнергетической отрасли, по энергосбережению, развитию энергоисточников на местных видах топлива, развитию гидроэлектроэнергетики.

4-6 октября делегация Парламентского Собрания Союза Беларуси и России в качестве наблюдателей участвовала в работе 123-й ассамблеи Межпарламентского союза.
Делегацию возглавила председатель Комиссии Парламентского Собрания по вопросам внешней политики Нина Мазай. В заседаниях Ассоциации генеральных секретарей парламентов участвовал Ответственный секретарь Парламентского Собрания Сергей Стрельченко.
7-8 октября делегация Парламентского Собрания примет участие в работе международного научно-практического семинара «Вопросы государственно-частного сотрудничества в сфере упрощения процедур торговли и их правового регулирования», проводимого Межпарламентской ассамблеей Евразийского экономического сообщества и Европейской экономической комиссией ООН, а также в совместном заседании постоянных комиссий МПА ЕврАзЭС по правовым вопросам, по таможенному регулированию и пограничной политике, по торговой политике и международному сотрудничеству.

С 1 октября экспортная пошлина на российскую нефть для Беларуси снижена.
Экспортная пошлина на российскую нефть с 1 октября 2010 года составила  266,5 долл. за тонну, что на 7 долл. ниже, чем в сентябре, на светлые нефтепродукты – 191,8 долл. за тонну (против 196,5 долл. за тонну в сентябре), на темные – 103,3 долл. за тонну (против 105,9 долл. за тонну). Беларусь получит в 2010 году 6,3 млн тонн российской нефти беспошлинно согласно топливно-энергетического балансу Союзного государства. Остальной объем нефти будет облагаться 100-процентной экспортной пошлиной.

Беларусь намерена присоединиться к Международной конвенции об упрощении таможенных процедур.
Об этом 28 сентября заявил первый заместитель председателя Государственного таможенного комитета Владимир Гошин на заседании Постоянной комиссии Палаты представителей по международным делам и связям с СНГ. Он представил депутатам законопроект о присоединении Беларуси к этой конвенции и рассказал о его основных положениях. По его словам, конвенция является «главным международным таможенным документом, в котором определены принципы регулирования внешнеторговых отношений и нетарифного таможенного регулирования, принятые Всемирной таможенной организацией». К конвенции уже присоединились более 60 государств, в том числе все страны Европы, а также США, Австралия. Из стран СНГ к ней присоединились Казахстан и Азербайджан, Россия и Украина – на пути к этому.

Уровень грамотности населения в Беларуси – один из самых высоких в мире.
Уровень грамотности населения в Беларуси составляет 99,7% среди взрослого населения и 99,8% – среди молодежи. Об этом сообщили в Министерстве образования Беларуси. По уровню грамотности взрослого населения Беларусь опережает все страны СНГ, а также имеет один из самых высоких в мире показателей грамотности среди молодежи. Таких высоких показателей Беларусь добилась в том числе благодаря тому, что во время развала Советского Союза не отказалась от всеобуча, отметили в Минобразования. Общее базовое образование является обязательным.  

Беларусь готова к участию в миротворческих миссиях ООН.
Об этом 27 сентября заявил журналистам в ходе брифинга министр иностранных дел Республики Беларусь Сергей Мартынов. Беларусь планирует направить нескольких специалистов в силы ООН по поддержанию мира в Ливане. В этой стране уже работает один белорусский военный хирург. Помимо медицинского персонала участвовать в миротворческой деятельности ООН будут военные. Кроме того, Беларусь совместно с Секретариатом ООН изучает возможность участия в миротворческих силах на Кипре и в других операциях.